河南雨林教育工程有限公司
联系:董经理
手机:135-2506-9160
电话:0373-3591186
邮箱:3217359059@qq.com
网址:http://gansu.yulinedu.com/
地址:河南省新乡市红旗区工业园区道清路8号

服务热线
135-2506-9160河南雨林教育工程有限公司
联系:董经理
手机:135-2506-9160
电话:0373-3591186
邮箱:3217359059@qq.com
网址:http://gansu.yulinedu.com/
地址:河南省新乡市红旗区工业园区道清路8号


甘肃生物玻片是用甘肃显微镜研究生物时必不可少的玻璃片。你知道如何更好地制作它吗?如果你不知道,不妨学习一下甘肃组织学免疫系统显微玻片的制作注意事项。
因为生物玻片分为装片和涂片,两者的制作方法不同,下面我们分别详细看一下。
1.制作装片
一般情况下,在制作动物组织细胞的生物显微玻片(装片)时,建议大家根据动物种类的不同,使用不同的生理盐水,如冷血动物使用0.65-0.7%的生理盐水,无脊椎动物使用0.45%的生理盐水。
二是制作涂料
制作生物玻片(涂层)时,必须快速取材,避免细胞自溶;操作过程必须轻巧,以免细胞结构受损;涂层厚度应适当均匀,以免影响观察效果;如果要研究的生物细胞样品密度过高,可以在研究前用生理盐水适当稀释。

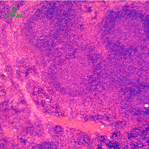
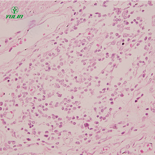
众所周知,组织学免疫系统显微玻片需要在甘肃显微镜下观察,但是很多用户不知道如何更好的使用组织学免疫系统显微玻片。所以给大家讲解一下如何使用组织学免疫系统显微玻片。
1.取镜和放置:右手握住镜臂,左手握住镜座取出显微镜,然后放置在距离试验台边缘7厘米的左侧,放置眼镜和物镜。
2.对光:转动生物显微镜的转换器将低倍物镜对准通光孔,将较大的光圈对准通光孔。左眼看着眼镜,右眼睁开,转动镜子,直到看到一个白色的圆形视野。
3.观察:将需要观察的组织学免疫系统显微玻片放在托盘上,用夹子夹住,并确保组织学免疫系统显微玻片正对着通光孔的中心。然后转动粗准焦螺旋,使镜筒慢慢下降,直到物镜接近生物显微玻璃片,左眼向目镜内看,同时逆时针转动粗准焦螺旋,使镜筒慢慢上升,直到看到物体图像。
清洁和收镜:整理实验所需的设备,同时将生物显微玻片清理干净,放回工具箱内。

说到组织学免疫系统显微玻片,我们都会想到实验课上做的一些实验。我们都知道组织学免疫系统显微玻片可以帮助我们更好地学习生物。然而,在制作组织学免疫系统显微玻片的过程中,不可避免地会出现一些问题。这里了解一下制作过程中会遇到哪些问题。
1.采样的优缺点:样品的优缺点会直接影响组织学免疫系统显微玻片的制作。在采样过程中,建议大家准备一把锐利的采样刀,避免采样时拖延,采样时尽量按照与化纤平行面切除。
2.固定后的水清洗:很多用户在制作组织学免疫系统显微玻片时,往往会忽略固定后的水清洗步骤或水清洗不好,导致托盘和着色不艳丽。
3.固定问题:这个过程主要是为了更好地避免细胞组织的自溶性腐烂和细胞内部酶对蛋白质的分解,从而维持与原始生活的结构。然而,许多实验者无法掌握这部分内容,这严重影响了组织学免疫系统显微玻片的观察效果。
脱干:脱干不好是组织学免疫系统显微玻片生产中导致生物结构不透明的主要因素,而脱干过多容易导致生物机构变脆。
上色不均匀或不正确:建议大家在给组织学免疫系统显微玻片上色时,要根据染料的温度、切片类型、新旧来确定染色时间。

我们都知道组织学免疫系统显微玻片对研究生物细胞的重要性,我们都知道一旦出现问题,就会对研究结果产生严重的后果。你知道影响组织学免疫系统显微玻片检测的因素有哪些吗?如果你不知道,请跟随我们了解一下。
1.组织学免疫系统显微玻片被别的微生物污染:由于微生物中可能含有内源性辣根过氧化酶,被微生物污染的显微玻片可能会产生非特异性显色,从而干扰测定结果。
2.组织学免疫系统显微玻片的保存不当:在制作组织学免疫系统显微玻片时,我们可能会因为多个步骤而忘记保存好,这样会导致玻璃片被不干净的东西污染,进而影响检测结果。
3.组织学免疫系统显微玻片没有完全固化:有时,为了尽快检测,我们可能会经常在生物显微玻璃片上的标本还没有完全固化的情况下开始检测,所以可能会出现检测不准确的情况。